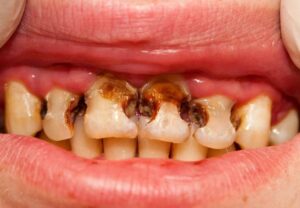
लाइव हिंदी खबर :- दिन-प्रतिदिन लोगों के जीवन शैली में परिवर्तन हो रहा है और उनके खानपान में बदलाव हो रहा है। आपको बता दें कि इन बदलती जीवनशैली के कारण उन्हें कई बीमारियों का सामना करना पड़ता है, उनमें से एक समस्या यानि दांत में किड लगना। इस कारण कई लोग परेशान होते हैं, लेकिन आपको परेशान होने की कोई दरकार नहीं है। आज की इस पोस्ट में हम आपको बताने वाले हैं कि 1 दिन में दांत के कीड़ो को जड़ से कैसे खत्म किया जाता है।

सबसे पहिले आपको सरसों का तेल और फिटकिरी की जरूरत पड़ेगी। पहिले आपको सरसों के तेल में 2 चमच्च फिटकिरी पावडर डालना चाहिए फिर उसको अच्छी तरह मिश्र करके दातो के कीड़ो पर डालना होगा। आपको बता दे की कुछ ही समय में आपको आराम मिल जाएगा।